Y tế - Sức khỏe
Số ca COVID-19 tăng trở lại, PGS Trần Đắc Phu khuyến cáo cách phòng tái nhiễm
Hiện nay, số ca mắc COVID-19 tại nước ta đang tăng trở lại, nguyên nhân một phần vì miễn dịch cộng đồng hiện tại đã giảm.
Da mặt loang lổ như pháo hoa vì đắp "thần dược" trị nám, trắng da
Được mách đắp lá trầu không có thể làm mờ nám, chị T. làm theo. Tuy nhiên chỉ sau vài tuần, da chị đã mẩn đỏ, kích ứng rồi nổi những chỗ trắng, đen, nâu loang lổ.
Ca COVID-19 nặng có xu hướng tăng, nhiều địa phương lo lắng tiến độ tiêm vắc xin chậm
Theo thông tin từ Bộ Y tế, số ca mắc COVID-19 đang có xu hướng tăng, đặc biệt, số bệnh nhân nặng phải thở oxy cũng tăng.
Cảnh giác bệnh sốt xuất huyết 'giả dạng' viêm hô hấp trên
Bé Lê Thúy H., 9 tháng tuổi, bị sốt, ho, sổ mũi ba ngày, sáng hôm sau tự nhiên H. bị ói, quấy khóc nên mẹ đưa bé đến bác sĩ khám. Bác sĩ khám thấy bé có ít chấm đỏ trên cẳng tay nên cho bé thử máu và làm test nhanh sốt xuất huyết NS1.
Xuất hiện 6 dấu hiệu này, người mắc bệnh sốt xuất huyết phải nhập viện ngay
Bệnh sốt xuất huyết là bệnh truyền nhiễm cấp tính, nguy hiểm có thể gây thành dịch vào mùa mưa do virus Dengue gây ra. Bệnh lây lan do muỗi vằn đốt người bệnh nhiễm virus sau đó truyền bệnh cho người lành qua vết đốt.
Thêm cảnh báo đáng sợ về biến đổi khí hậu
Một nghiên cứu mới công bố ngày 8-8 cho thấy các hiện tượng thời tiết cực đoan như lũ lụt, nắng nóng, hạn hán làm trầm trọng hơn nhiều bệnh truyền nhiễm ở người, như sốt rét, tả…
Kinh hãi sán làm tổ trong não người phụ nữ
Bệnh viện Hữu nghị Việt Nam - Cuba Đồng Hới vừa tiếp nhận và điều trị cho trường hợp người bệnh bị tổn thương viêm não do nang sán.
Phát hiện chủng virus SARS-CoV-2 lai giữa biến thể Omicron và biến thể Delta
Các nhà khoa học đã phát hiện tại Nga chủng kết hợp giữa 2 biến thể Omicron, Delta của virus SARS-CoV-2, đồng thời cho biết cần nghiên cứu thêm về mức độ nguy hiểm.
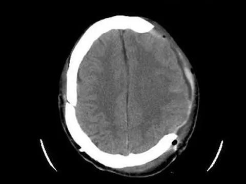
Bị ngã khi đi xe đạp, bé 7 tuổi chấn thương sọ não
Vừa qua, các bác sĩ khoa Chấn thương chỉnh hình - Bệnh viện đa khoa Hùng Vương (Phú Thọ) đã tiếp nhận điều trị cho bé gái 7 tuổi chấn thương sọ não do ngã xe đạp.
Bé trai 10 tuổi nhập viện với đa chấn thương do pin đồ chơi phát nổ
Trong lúc đang chơi, chẳng may pin đồ chơi phát nổ khiến bé trai 10 tuổi phải nhập viện cấp cứu.
Người Việt chỉ sống khỏe tới 64 tuổi, dù tuổi thọ trung bình hơn 73 tuổi
Dù tuổi thọ trung bình của người Việt đã tăng cao nhưng số năm sống khoẻ mạnh lại thấp hơn so với nhiều quốc gia.
EU và Moderna "bắt tay": Tháng 9 sẽ có vắc-xin kháng Omicron?
Trong khi Liên minh châu Âu (EU) và Moderna đạt được thỏa thuận nhằm đảm bảo lô hàng vắc-xin sắp tới sẽ có 15 triệu liều chuyên kháng Omicron, một nhóm nghiên cứu khác đang phát triển thuốc xịt mũi có thể diệt được SARS-CoV-2 trong phổi.
Bộ Y tế đề nghị nghiên cứu sản xuất thuốc phòng, chống đậu mùa khỉ
Cục Quản lý dược (Bộ Y tế) vừa có công văn về việc tăng cường nhập khẩu thuốc, nguyên liệu làm thuốc để nghiên cứu sản xuất thuốc phòng, chống bệnh đậu mùa khỉ.
Covid-19: Khu vực có Việt Nam chiếm 48% số ca thế giới, WHO theo dõi các BA.5.X mới
(NLĐO) - Tổ chức Y tế thế giới (WHO) vẫn đang theo dõi tỉ lệ lưu hành và sự thay đổi đặc tính virus của các dòng BA.5.X, tức các nhánh phụ của biến chủng BA.5 Omicron, vốn ngày càng đa dạng.