Y tế - Sức khỏe
Sức khỏe các lao động Việt Nam chạy khỏi casino ở Campuchia ra sao?
Các công dân Việt Nam tháo chạy từ cơ sở kinh doanh đánh bạc trực tuyến tại thành phố Bavet, Campuchia đều đang được bảo vệ và chăm sóc tốt.
NÓI THẲNG: Rắn ngậm phong bì - hãy thôi xúc phạm, vô ơn!
Cơ quan chức năng cần sớm vào cuộc, điều tra làm rõ, xử lý nghiêm minh những ai liên quan đến câu chuyện rắn ngậm phong bì.
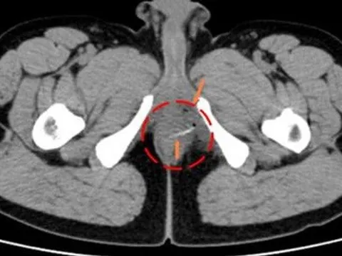
Ớn hình ảnh xương cá chắn ngang hậu môn
Một người đàn ông đi khám sức khỏe định kỳ được bác sĩ phát hiện xương cá đâm ngang trực tràng hậu môn sau khi chụp CT toàn thân.
4 cách ăn quen thuộc này có thể là lý do bạn tăng cân khó hiểu
(NLĐO) - Một số cách ăn có thể vô tình tạo ra những lựa chọn hoặc tác động tâm lý khiến bạn ăn nhiều hơn, ăn thứ dễ làm tăng cân hơn mà có khi chính bạn cũng không hay.
Da đầu trắng xóa kỳ lạ sau khi nhuộm tóc: Bác sĩ chỉ ra nguyên nhân không ngờ tới
Sau một lần nhuộm tóc, da đầu của người đàn ông 60 tuổi bỗng trở nên trắng xóa nhưng không gây cảm giác khó chịu. Khi đi khám, bác sĩ chỉ ra nguyên nhân bất ngờ.
Sau bữa tiết canh lòng lợn, người đàn ông phải đi cấp cứu gấp
Sau khi ăn tiết canh, lòng lợn tại một quán ăn ở Hà Nội. Hai ngày sau, người đàn ông U50 bất ngờ xuất hiện tình trạng sốt cao phải nhập viện.
Vì sao 67 trạm y tế ở TP.HCM không có trưởng, phó trạm?
TP.HCM có 310 trạm y tế nhưng hiện chỉ có 243 trưởng và phó trạm y tế. Điều này được xem là nghịch lý và theo nhiều chuyên gia có thể ảnh hưởng trực tiếp đến việc quản lý, điều hành các chương trình chăm sóc sức khỏe ban đầu cho người dân.
Sốc phản vệ nặng sau khi ăn cua biển
Sau khi ăn cua biển, nữ bệnh nhân bắt đầu xuất hiện nổi đỏ trên da, ngứa.
9.680 nhân viên y tế nghỉ việc trong 6 tháng: Bộ Y tế chỉ ra 4 nguyên nhân chính
Số liệu thống kê của Bộ Y tế từ ngày 1-1-2021 đến 30-6-2022 cho thấy có 9.680 nhân viên y tế xin thôi việc hoặc bỏ việc. Trong đó có 3.094 bác sĩ, 2.874 điều dưỡng, 551 kỹ thuật y, 276 hộ sinh, 593 dược, 2.280 viên chức khác.
Nghiên cứu từ Phần Lan: Loại quả diệu kỳ có thể giảm hơn 50% số ca đột quỵ
Nghiên cứu đã chỉ ra rằng những người thường xuyên ăn loại quả này có thể giảm đáng kể nguy cơ bị đột quỵ.
Bé trai ở TP HCM nghi bị tấn công có vết cắt 15cm trên cổ
Sau khi được sơ cấp cứu và hội chẩn, đến bé trai được chuyển lên phòng mổ để khâu vết cắt dài 15cm ở cổ.
Bạn bè tuyệt vọng đưa Cara Delevingne đi cai nghiện
Sau nhiều lần bị bắt gặp với hình ảnh, hành vi khá thất thường, Cara Delevingne hiện được bạn bè khuyên nhủ vào trại cai nghiện.
Đã có 6 trẻ tử vong, virus Adeno gây ra biến chứng nguy hiểm nào?
Trao đổi với báo chí sáng 16/9, PGS.TS Lê Thị Hồng Hanh - Giám đốc Trung tâm Hô hấp, Bệnh viện Nhi Trung ương nhấn mạnh, với cơ địa khỏe mạnh, người mắc virus Adeno có thể tự khỏi nhưng...
7 thói quen dễ gây vô sinh ở nam giới nhưng 70% người đang phạm phải
Những thói quen thường gặp này sẽ khiến sức khỏe sinh sản của nam giới suy giảm.