Y tế - Sức khỏe
Phát hiện bé gái mới sinh trong túi nilon bịt kín tại bãi rác
(NLĐO)- Nghe tiếng khóc của trẻ em, người dân đi tập thể dục buổi tối kiểm tra và vội đưa bé gái sơ sinh tới bệnh viện.
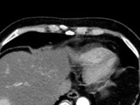
Phát hiện 'sát thủ' ung thư gan khi đi khám tim mạch
Đến bệnh viện khám tim mạch, nam bệnh nhân được bác sĩ thực hiện các xét nghiệm, kiểm tra hình ảnh thì phát hiện dấu hiệu bất thường ở gan. Kết quả chẩn đoán chuyên sâu cho thấy người bệnh bị ung thư gan. Bệnh nhân đã may mắn phát hiện ở giai đoạn sớm nên thoát “án tử”.
WHO: Cảnh báo nóng nguyên nhân khiến hàng triệu người đột quỵ, đau tim
(NLĐO) - Tổng Giám đốc Tổ chức Y tế thế giới (WHO) Tedros Adhanom Ghebreyesus cảnh báo thế giới đang đi chệch hướng để đạt được một mục tiêu toàn cầu giúp ngăn chặn hàng triệu ca đau tim, đột quỵ và tử vong sớm hàng năm.
Hy hữu cụ ông được cứu sống do cây sắt đâm vào cổ, xuyên xuống phổi
Dù bị cây sắt đâm sâu vào cổ họng, tiên lượng xấu nhưng cụ Đ. đã may mắn được các bác sĩ tại Hà Tĩnh cứu sống kịp thời.
Hy hữu nuôi sống bé sinh non 24 tuần tuổi, nặng vỏn vẹn 700 gram
Người mẹ hiếm muộn thụ tinh ống nghiệm (IVF) mang song thai. Lúc 24 tuần, thai phụ có dấu hiệu dọa sinh non, phải nhập viện.
Liên tiếp nhiều Sở Y tế “cấm cửa” bác sĩ, liệu có giải pháp tốt hơn?
Trong khi quy định về bồi thường vi phạm cam kết đã có, nhưng các cơ quan quản lý Nhà nước về y tế vẫn liên tục có văn bản không cho bác sĩ làm việc ở nơi khác.
Đảm bảo dinh dưỡng cho bà mẹ và trẻ em với Phần mềm của Bộ Y tế
Phần mềm xây dựng thực đơn của Bộ Y tế và Ajinomoto Việt Nam phát triển giúp đảm bảo dinh dưỡng cho bà mẹ và trẻ em dưới 5 tuổi.
Nam thanh niên suýt liệt chân do tập gym
Đây là trường hợp nam bệnh nhân 18 tuổi vừa được các bác sĩ Bệnh viện đa khoa Hùng Vương (Phú Thọ) tiếp nhận điều trị.
Tiếng hát lạc quan từ trại tâm thần của cô gái trẻ và mong ước được về bên mẹ
25 tuổi - đáng nhẽ là độ tuổi đầy hoài bão và đam mê thì Tú bất ngờ bị bệnh. 2 năm, cô gái trẻ lúc nhớ lúc quên nhưng trong những lúc tỉnh táo, cô gái vẫn hát vẫn cười, vẫn mong ngóng ngày khỏi bệnh để được trở về trong vòng tay mẹ, được làm việc và cống hiến...
Bé gái 2 tháng tuổi bất ngờ tử vong nghi do bị ngạt sữa
Sau khi bú mẹ vài tiếng, bé 2 tháng tuổi bất ngờ khó thở, tím tái… Dù được bác sĩ tận tình cấp cứu nhưng cháu bé đã không qua khỏi.
Tặng quà bạn gái bằng tư thế 'yêu' mới, nam thanh niên phải đi cấp cứu
Khi đã uống say mèm, nam thanh niên vẫn muốn tặng quà cho bạn gái bằng một đêm 'yêu' nồng thắm. Kết quả, ngay sau đó bạn gái phải đưa chàng trai vào viện cấp cứu.
Phát hiện ung thư gan nhờ khám sức khỏe
Ngày 8/3, bệnh viện Hoàn Mỹ Sài Gòn tiếp nhận chẩn đoán và phẫu thuật thành công cho bệnh nhân tình cờ phát hiện ung thư gan.
Dấu hiệu trên da tưởng bình thường nhưng có thể cảnh báo 4 bệnh nguy hiểm
Ngứa da là một tình trạng phổ biến nhưng nó cũng có thể là dấu hiệu cảnh báo một số căn bệnh nguy hiểm.
Suýt mất mạng do tự uống thuốc không rõ nguồn gốc
Bị đau rát họng người đàn ông 39 tuổi ở Phú Thọ uống thuốc điều trị không rõ loại sau đó sốt cao, nổi ban đỏ toàn thân...