Y tế - Sức khỏe
Nam, nữ thanh niên nguy kịch do ngộ độc thuốc lá điện tử trộn ma tuý mới
Kết quả xét nghiệm các mẫu thuốc lá điện tử phát hiện có mẫu chứa tới 3 đến 4 chất ma tuý tổng hợp trong khi trước đó thường chỉ phát hiện 1 chất. Có nhiều chất mới lần đầu được tìm thấy
3 giờ phẫu thuật thành công cho người phụ nữ suýt hoại tử vì nâng cấp "vòng 3" từ một người quen
Tốn hàng trăm triệu để nâng cấp "vòng 3" căng tròn từ một người quen, không ngờ bệnh nhân suýt hoại tử, phải cầu cứu các bác sĩ.
Bát nháo cơ sở y tế nhái thương hiệu
Nhiều bệnh viện khu vực phía Nam cảnh báo về tình trạng các tổ chức, cá nhân nhái giả, xâm phạm quyền ở hữu thương hiệu. Vấn nạn này không chỉ ảnh hưởng đến uy tín của các cơ sở y tế mà còn khiến nhiều người dân bị sập bẫy dẫn đến tiền mất, tật mang.
Ca tay chân miệng tăng, chuyên gia nhận định thời gian dịch “hạ nhiệt"
Tp. HCM đang ở tình huống 2 ứng phó bệnh tay chân miệng tức khoảng 50-100 ca nhập viện/ngày. Vậy khi nào dịch bệnh có dấu hiệu “hạ nhiệt”?
Thứ trưởng Bộ Y tế xúc động trước sự nhiệt huyết của bác sĩ trẻ ở Huế
GS.TS Trần Văn Thuấn, Thứ trưởng Bộ Y tế xúc động trước nhiều hoạt động tình nguyện ý nghĩa của các đoàn viên thanh niên ngành y tế ở Huế.
Giáo sư 17 lần mắc bệnh hiểm nghèo vẫn sống thọ 111 tuổi: Bữa ăn toàn thực phẩm quen thuộc với người Việt, chú trọng 4 'ít', 2 'đủ'
Dù ngày bé từng bị lao phổi, khi trưởng thành cũng nhiều lần nhập viện nhưng ở tuổi 109, người đàn ông này vẫn minh mẫn viết sách chia sẻ kinh nghiệm sống thọ với mọi người.
Nguyên nhân không ngờ gây đột quỵ sớm, nhiều người mắc phải
(NLĐO) - Các nhà khoa học Mỹ phát hiện ra một hành động mà khá nhiều người trong chúng ta hay làm có thể là "tử thần" đồng hành cùng chứng cao huyết áp để gây ra những cơn đột quỵ sớm và rút ngắn tuổi thọ.
Nhập viện cấp cứu sau khi phá thai 22 tuần ở phòng khám tư
Bệnh nhân đến phòng khám tư tại quận 10, TP HCM để phá thai 22 tuần. Sau nạo hút thai thì sức khỏe nguy kịch, được đưa đến Bệnh viện Hùng Vương cấp cứu.
Nghiên cứu: Thời điểm ăn sáng có thể làm tăng 59% nguy cơ mắc tiểu đường
Một nghiên cứu mới đây đã tiết lộ rằng những người thường xuyên có thói quen ăn sáng vào thời điểm này có nguy cơ mắc bệnh tiểu đường loại 2 cao hơn.
Người đàn ông ‘vụng trộm’ và cái kết đầy nước mắt sau 30 năm
Tony là “sản phẩm” của mối tình vụng trộm giữa mẹ anh và người đàn ông đã có vợ, 30 năm sau hai cha con có cuộc hội ngộ đầy nước mắt.
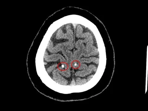
Sán làm tổ trong não vì thói quen ăn đồ sống
Đi khám vì thấy nhức đầu nhiều, người bệnh được chụp cắt lớp vi tính sọ não, kết quả cho thấy hình ảnh nang ký sinh trùng trong não.
Cả gia đình ngộ độc nấm rừng, 3 người tử vong
Hai người lớn và một trẻ nhỏ đã tử vong do ngộ độc nấm rừng. Thời điểm nhập viện, bệnh nhân bị suy gan cấp, men gan gấp 200 lần bình thường, rối loạn đông máu.
Người đột quỵ não phục hồi chức năng sớm có hại hay không?
(NLĐO) – Tại Việt Nam, mỗi năm có khoảng 200.000 người bị đột quỵ, tỉ lệ tử vong 20%. Đáng lưu ý, bệnh đang có xu hướng tăng ở những người trẻ.
Có phải trẻ hay bị viêm họng là do uống nước lạnh, bác sĩ tiết lộ sự thật
Nước lạnh hay nước đá luôn là đồ uống yêu thích của trẻ trong những ngày hè oi bức, liệu chúng có tiềm ẩn nguy hiểm nào cho sức khỏe của con?